症例【空隙歯列(すきっ歯)】
症例01 空隙歯列
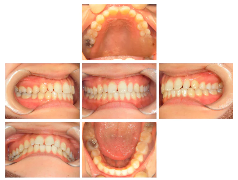
before

After

| 主訴 | 空隙 |
|---|---|
| 使用した装置 | マウスピース型矯正装置(インビザライン) 光加速装置「PBMヒーリング」 |
| 年齢 | 28歳 |
| 治療費用 | 877,800円(税込) (相談・検査・診断料 無料、調整料 無料) |
| 治療期間 | 6ヶ月 |
| 通院回数 | 10回 |
| 抜歯箇所 | 左上下8抜歯、右下8抜歯 |
| 副作用 | 装着時間が少ないと治療期間が長引く可能性があります。 他の矯正治療法と同様に、疼痛・歯根吸収・歯肉退縮の可能性や適切な保定をしないと治療後に後戻りすることがあります。 |
| 治療の内容・詳細 | カスタムメイドで制作されたマウスピースを定期的に交換しながら少しずつ歯に適切な力をかけて歯並びを整えていく矯正治療です。 |
症例02 空隙歯列
before

After

| 主訴 | すきっ歯 |
|---|---|
| 使用した装置 | マウスピース型矯正装置(インビザライン) |
| 年齢 | 26歳 |
| 治療費用 | 767,800円(税込) |
| 治療期間 | 2年8ヶ月 |
| 通院回数 | 17回 |
| 抜歯箇所 | 非抜歯 |
| 副作用 | 咬合痛、歯根吸収、歯根露出が生じる可能性があります。 |
| 治療の内容・詳細 | はじめすきまがかなりありましたが初診時に認めた隙間はしっかり閉じ切れておりご本人様からもお喜びのお声をいただいております。 |
症例03 空隙歯列・上顎前突
before

After

| 主訴 | 空隙・上顎前突(前歯のすき間と出っ歯が気になる) |
|---|---|
| 使用した装置 | マウスピース型矯正装置(インビザライン) |
| 年齢 | 18歳 |
| 治療費用 | 822,800円 |
| 治療期間 | 2年10か月 |
| 通院回数 | 24回 |
| 抜歯箇所 | 非抜歯 |
| 副作用 | 咬合痛、歯根吸収、歯根露出が生じる可能性があります。治療後、歯並びが少し後戻りする可能性があります。 |
| 治療の内容・詳細 | 主訴のすき間がなくなり。きれいな歯並びになりました。咬み合わせにも注意しています。 |
症例04 空隙歯列・矮小歯
before

After

| 主訴 | 上22小さい、上11隙間 |
|---|---|
| 使用した装置 | マウスピース型矯正装置(インビザライン) |
| 年齢 | 30歳 |
| 治療費用 | 547,800円 |
| 治療期間 | 1年1か月 |
| 通院回数 | 12回 |
| 抜歯箇所 | 非抜歯 |
| 副作用 | 咬合痛、歯根吸収、歯根露出が生じる可能性があります。 |
| 治療の内容・詳細 | インビザライン、上22は矯正後他院で補綴治療 最終的に上22に空隙を残して矮小歯補綴治療をされています。ご本人様からもだいぶきれいになりましたとお言葉をいただいております。 |