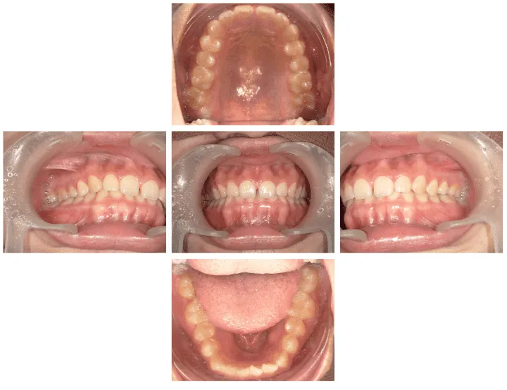
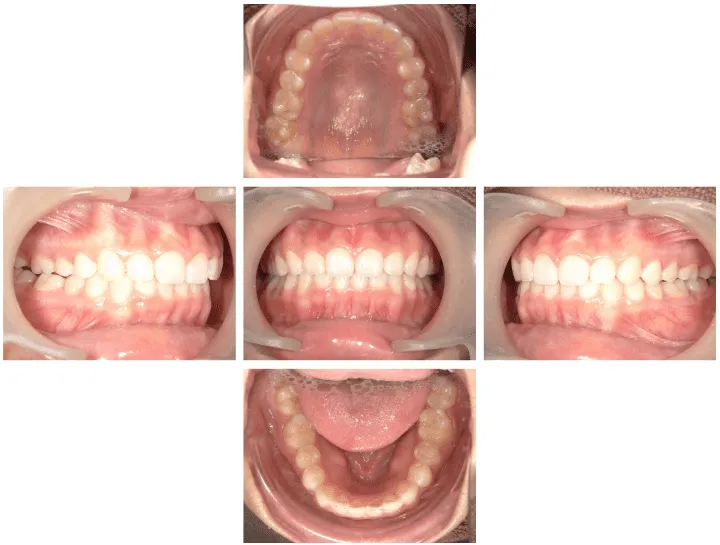
症例【過蓋咬合(嚙み合わせが深い)】
症例01 過蓋咬合
before

After

| 主訴 | 空隙、叢生、過蓋咬合 |
|---|---|
| 治療内容 | マウスピース型矯正装置(インビザラインライト) |
| 年齢 | 22歳 |
| 治療費用 | 396,000円(税込) |
| 治療期間 | 7か月 |
| 通院回数 | 6回 |
| 副作用 | 咬合痛、歯根吸収、歯根露出が生じる可能性があります。 |
| コメント | 初回アライナーで主訴の空隙と下顎叢生、過蓋咬合を改善、追加アライナーで再度調整して動的治療を終了いたしました。 |
月~日 10:30~13:00/14:00~19:00 休診日:火曜日
月~日 10:30~13:00/14:00~19:00 休診日:火曜日