口腔習癖と不正咬合:原因・影響・予防策について詳しく解説【 ③口呼吸編】
「気がつくと口が開いている」「寝ているときに口が乾燥する」といった経験はありませんか?こうした口呼吸の習慣は、一見すると大きな問題には思えないかもしれません。しかし、口呼吸を続けることで、歯並びの乱れ、噛み合わせの異常、さらには健康全般に悪影響を及ぼす可能性があることが研究で明らかになっています。
特に子どもの頃からの口呼吸は、顎の発育や顔の形に影響を与え、将来的に不正咬合(ふせいこうごう)を引き起こすリスクが高まるとされています。本記事では、口呼吸がどのように不正咬合に影響を与えるのか、そしてその原因や改善方法について詳しく解説していきます。
「口で呼吸するのは楽だから」と思っている方も、この記事を通して口呼吸のデメリットを理解し、健康的な鼻呼吸へと改善するきっかけにしてみてください!
「口呼吸」とは?

口呼吸とは、鼻ではなく口で空気を吸い込む習慣のことを指します。通常、人間は鼻から呼吸をするのが自然ですが、鼻づまりや生活習慣の影響で無意識のうちに口呼吸を続けてしまうことがあります。
口呼吸は、日常生活の中で頻繁に見られるものの、健康や歯並びにさまざまな悪影響を及ぼす可能性があるため、注意が必要です。特に、幼少期からの口呼吸は、顎の成長や歯列の形成に大きな影響を与え、将来的に不正咬合を引き起こすリスクを高めることが研究で明らかになっています。
口呼吸が発生する主な原因
口呼吸の原因はさまざまですが、以下のような要因が関係していることが多いです。
-
鼻づまりやアレルギー性鼻炎
慢性的な鼻づまりがあると、鼻での呼吸が難しくなり、自然と口呼吸が習慣化してしまいます。アレルギー性鼻炎や花粉症、鼻中隔湾曲症(鼻の仕切りが曲がっている状態)などが原因となることもあります。
口腔習癖(こうくうしゅうへき)
指しゃぶりや舌突出癖、頬杖などの口周りの悪い癖が、口を開ける習慣を作り、口呼吸の原因になることがあります。
扁桃腺やアデノイドの肥大
扁桃腺やアデノイド(鼻の奥にあるリンパ組織)が大きくなると、鼻の気道が狭くなり、口呼吸になりやすくなります。これは特に子どもに多く見られる原因です。
口周りの筋力の低下
口周りの筋肉(口輪筋や舌の筋肉)が弱いと、唇を閉じる力が不足し、自然と口が開いたままになることがあります。
姿勢の悪さ
猫背やストレートネックなどの姿勢の悪さが原因で、頭が前に出てしまうと、口が開きやすくなることがあります。
口呼吸は、単なる生活習慣ではなく、健康や歯並びに大きな影響を与える可能性があるため、早めの改善が重要です。
「口呼吸」が与える影響
口呼吸は単なる呼吸の癖ではなく、長期間続くことで口腔や全身の健康にさまざまな影響を及ぼすとされています。特に成長期の子どもにおいては、顎の発育や歯並びに大きな影響を与えるため、早期の対応が推奨されます。
1. 歯並びや噛み合わせへの影響
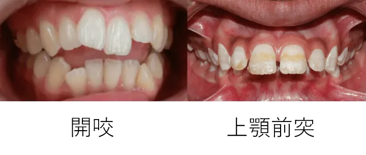
口呼吸が習慣化すると、舌の位置が本来の正しい位置(上顎の口蓋部分)ではなく、低い位置に固定されることが多くなります。この結果、以下のような不正咬合が引き起こされることがあります。

開咬(かいこう)
:上下の歯がしっかり噛み合わず、前歯の間に隙間ができる。
上顎前突(出っ歯)
:舌の圧力が弱くなることで、上顎が前に突出しやすくなる。
狭窄歯列(アーチの狭まり)
:鼻呼吸の子どもに比べ、口呼吸の子どもは上顎の成長が不十分となり、歯列が狭くなりやすいといわれています。
口呼吸をしている子どもは、鼻呼吸をしている子どもに比べて上顎の狭窄や開咬のリスクが有意に高いという研究もあります。
2. 顎の発育への影響
口呼吸を続けることで、顎の成長方向に変化が生じることが報告されています。

「アデノイド顔貌(がんぼう)」の形成
口を開けた状態が続くことで、顔が縦に長くなり、顎が後退しやすくなるという特徴的な顔貌(アデノイド顔貌)が形成されることがあります。
下顎後退と顎関節への影響
口呼吸の子どもは、顎が正常な前方成長をしにくく、後退した位置で発達する傾向があります。これが長期化すると、顎関節症(TMD)のリスクが高まる可能性があります。
口呼吸をしている子どもは、下顎の発達が不十分になりやすく、成人後に顎関節症のリスクが高まる可能性があるという研究もあります。
3. 虫歯・歯周病リスクの上昇

口呼吸では口腔内が乾燥しやすくなります。これにより、唾液の自浄作用が低下し、虫歯や歯周病のリスクが高まることが知られています。
口腔内の乾燥が細菌の増殖を促進
唾液には、抗菌作用や口腔内のpHを中和する働きがありますが、口呼吸により唾液が蒸発しやすくなると、その効果が低下します。
歯肉炎・歯周病リスク
口腔内が乾燥すると、歯ぐきが炎症を起こしやすくなり、歯周病につながる可能性があります。
口呼吸の子どもは鼻呼吸の子どもよりも歯肉炎の発症率が高いことという研究もあります。
4. 睡眠の質の低下
口呼吸は睡眠の質にも影響を及ぼし、特に睡眠時無呼吸症候群(OSA: Obstructive Sleep Apnea)のリスクが高まることが報告されています。
いびきや無呼吸のリスク増加
口を開けて寝ることで、気道が狭くなり、睡眠時無呼吸症候群を引き起こす可能性があるといわれています。
睡眠の質の低下が成長や学習能力に影響
十分な酸素が取り込めないことで、睡眠の質が低下し、日中の集中力や学習能力に影響を及ぼすことが報告されています。
口呼吸の子どもは、鼻呼吸の子どもよりも睡眠の質が低く、注意欠如・多動症(ADHD)と関連がある可能性があると指摘する研究もあります。
5. 発音や口元の美観への影響
口呼吸は発音にも影響を及ぼし、特に「サ行」や「タ行」の発音が不明瞭になりやすいとされています。
舌の正しい位置が維持できない

舌が低位に位置することで、発音時に正しい舌の動きを確保できず、滑舌が悪くなることがあります。
口元のたるみ・口角の下がり
口を閉じる習慣がないと、口周りの筋肉が衰え、口角が下がることで表情が暗く見えることがあります。
口呼吸の習慣が長期間続くと、口周りの筋肉の発達に影響を与え、顔貌にも変化が生じる可能性があるとされています。
まとめ
口呼吸は単なる癖ではなく、歯並びや顔の成長、全身の健康にも影響を及ぼす可能性があることが明らかになっています。特に成長期の子どもにおいては、上顎の発育や噛み合わせに大きな影響を与えるため、早期の対策が推奨されます。
次のセクションでは、口呼吸をやめるための具体的な方法やトレーニングについて解説していきます。
「口呼吸」をやめさせる方法
口呼吸を改善するためには、原因を特定し、それに応じたトレーニングや治療を行うことが重要です。ここでは、自宅でできるトレーニングや、専門的な治療について解説します。
1. 口の周りの筋肉を鍛えるトレーニング(MFT: 口腔筋機能療法)
口呼吸の原因の一つに、口周りの筋肉(口輪筋・舌筋・頬筋)の機能低下があります。これを改善するために、「MFT(口腔筋機能療法)」と呼ばれるトレーニングが推奨されています。
✅ おすすめのトレーニング方法
あいうべ体操(口輪筋・舌の強化)
-
- 「あ・い・う・べ」と大きく口を動かして発音する(1日30回程度)。
- 舌を口蓋(上顎)に押し付ける力を強化し、口を自然に閉じやすくする。
リップトレーニング(口唇の閉鎖力を強化)
-
- 唇に割り箸を挟んで落とさないように10秒間キープする。
- これを1日3セット程度行い、口を閉じる力をつける。
舌の正しい位置を意識する(舌の低位を改善)
-
口を閉じた状態で、舌の先を上顎のスポット(口蓋の前方部分)に軽く当てる習慣をつける。- 嚥下時(飲み込むとき)に、舌が前方に突き出る癖を修正する。
MFTを継続することで、口唇閉鎖力や舌の位置が改善され、口呼吸の頻度が減少すると言われています。
2. 鼻呼吸を促す習慣を身につける
鼻呼吸ができるようになるためには、日常生活の中で意識的に鼻呼吸を習慣づけることが大切です。
✅ 具体的な改善策
鼻うがい(生理食塩水を使用)を行う
:鼻詰まりが原因で口呼吸になっている場合、鼻腔を清潔に保つことで鼻呼吸がしやすくなる。
就寝時に口テープを貼る
:睡眠中の無意識の口呼吸を防ぐため、口に専用のテープを貼る。
鼻呼吸の意識づけ
:日中も口を閉じて鼻で呼吸することを意識する。
鼻呼吸を促すトレーニングを実施した子どもは、半年後に口呼吸の頻度が減少し、歯列や顎の発育に好影響を及ぼしたという研究もあります。
3. 口呼吸の原因となる疾患を治療する
口呼吸が慢性的に続く場合、アデノイド肥大・扁桃腺肥大・アレルギー性鼻炎などの基礎疾患が関与している可能性があります。
✅ 専門医の診察が必要なケース
鼻詰まりが慢性的に続いている場合
扁桃腺の腫れが大きく、呼吸がしづらい場合
睡眠時無呼吸症候群(いびきや無呼吸が頻繁にある)
✅ 疾患の可能性
アレルギー性鼻炎
アデノイド・扁桃腺肥大
鼻中隔湾曲症
アデノイド肥大の手術を受けた子どもは、鼻呼吸が改善し、口呼吸による歯列への影響が軽減されたと報告されている研究もあります。
まとめ
口呼吸は、単なる習慣ではなく、歯並びや顔の発育、全身の健康にも大きな影響を与えることがわかっています。特に、成長期の子どもでは、上顎の狭窄や噛み合わせの異常を引き起こす可能性があるため、早期の対策が必要です。
✅ 今日からできる口呼吸改善のポイント
MFT(口腔筋機能療法)を実践する(あいうべ体操、リップトレーニングなど)
鼻うがいや口テープで鼻呼吸を習慣づける
アレルギーや鼻詰まりなどの基礎疾患を治療する
早めに対策を行うことで、歯並びの悪化を防ぎ、口腔と全身の健康を守ることができます。口呼吸が気になる場合は、矯正歯科や耳鼻科の専門医に相談することをおすすめします。
当院はJR渋谷駅から徒歩4分、渋谷公園通り沿いにございます、渋谷以外では6医院関西大阪梅田、岸和田市、京都市、和歌山市に分院があります。
矯正治療実績は5000症例以上(※)あり、インビザラインではブルーダイヤモンドプロバイダーを受賞しております。
グループで矯正治療を管理しており、質の高い治療を提供しています。
東京・渋谷でインビザライン矯正・マウスピース矯正をお探しの方は一度無料相談(相談・精密検査費無料)にお越しください。
※2024年度グループ全体の矯正症例数
参考文献
- Guilleminault, C., Akintona, O. M., & Kheirandish-Gozal, L. (2019). "The impact of nasal breathing on craniofacial growth: A systematic review." Sleep Medicine Reviews, 47, 36-50.
- Yamada, T., Kondo, K., et al. (2021). "Adenoid hypertrophy and its relationship to dental malocclusion in children: A systematic review." International Journal of Pediatric Otorhinolaryngology, 150, 110-117.
- Motta, L. J., Martins, M. D., et al. (2020). "Orofacial myofunctional therapy in the treatment of mouth breathing: A systematic review and meta-analysis." Journal of Clinical Pediatric Dentistry, 44(2), 79-85.
- Chambi-Rocha, A., Cabrera-Domínguez, M. E., & Domínguez-Reyes, A. (2018). "The impact of mouth breathing on dentofacial development: A systematic review and meta-analysis." Journal of the World Federation of Orthodontists, 7(3), 92-101.
- Kiser, D., Smith, R., et al. (2021). "The effect of prolonged mouth breathing on facial aesthetics and speech articulation: A longitudinal study." European Journal of Orthodontics, 43(5), 527-534.